智影赋能基层诊疗

P12 Plus

彩色多普勒超声诊断系统

广告

美狮贵宾会官网通过不断的技术创新,为大众的生命健康提供持续关爱。P12 Plus采用全新一代超声成像平台,新平台旨在将真实还原组织解剖结构作为首要目标。平台采用全新集成化硬件模块,搭载新一代芯片,系统性能得到大幅提升,为您的诊断提供了丰富的临床信息。优异的图像表现,丰富的探头配置,全面的应用功能,为您日常诊断提供了可靠的助手。

全面应用探头家族

  • 单晶体凸阵探头

  • 腔内探头

  • 复合材料线阵探头

  • 容积探头

  • 相控阵探头

成像技术

凭借美狮贵宾会官网先进的成像技术和优异的探头技术提供的清晰的图像表现,您可以更自信地做出临床决策。

μ-Scan+新一代微米成像技术

新一代微米成像技术大大提高了器官和病变的可见性。高清对比度分辨率将抑制斑点噪声,同时保持真实的组织结构。

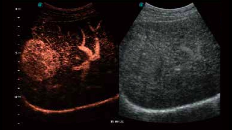
SR Flow高分辨率血流成像

高分辨率血流成像技术提高了对低速血流信号的检测能力。在提高空间分辨率的同时,也克服了血流外溢现象,为用户提供更加真实的血流动力学信息。

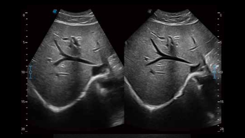
扩展成像技术

凸阵、线阵和相控阵探头进行实时扫描时,开启扩展成像模式,可以扩展超声图像视野,以便更完整地查看大的病灶或组织器官的解剖结构。

实时宽景成像技术

通过彩色血流和实时宽景相结合,可观察到完整的动静脉血流,方便医生检查。实时扫查过程中,如有任何操作失误也可以很容易地进行回扫擦除,而不会中断扫查。

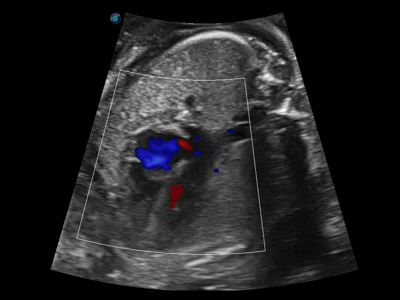
全面临床应用

弹性成像

弹性成像无需高频度外力作用可真实反映组织的形变,具有良好的重复性,更早地洞察潜在的病理学特征。

组织多普勒

组织多普勒成像功能,可提供心肌运动速度和其他临床信息,使临床医生能够分析和比较患者心脏不同部位的运动。

造影成像

造影成像功能和定量分析工具包使医生能够更好的评估血流灌注情况。独特的动态声压控技术有效控制造影剂的声压,保证更长的造影剂持续时间,更好的观察病变灌注的延迟相位。

S-Fetus 产科扫查助手

S-Fetus基于大数据深度学习算法,能够帮助您在产前筛查过程中智能识别胎儿标准切面、自动测量并录入报告。一个按键,即可智能、精准、高效地获取胎儿生理指标,极大简化您的产科检查操作。

穿刺增强

穿刺增强通过超声波光束控制和偏转,增强了针头在组织中的显像效果。从而保证在穿刺过程中最大限度减少对周围组织的伤害,降低穿刺风险,提高穿刺成功率。

S-Live 高分辨率容积成像

通过仿真成像技术对3D/4D立体数据进行渲染,多种初始光源位置可选,并支持轨迹球360°光源位置自由调节,清晰显示不同方位容积图像细节。

人机工程设计

  • 21.5英寸显示器(支持23.8英寸)

  • 高度可调和可旋转控制面板

  • 大尺寸触摸屏

  • 可拆卸大容量电池

  • 可调温耦合剂加热器

  • 隐藏式抽拉键盘

用户便捷体验

  • 教学软件Sono-Help

    教学软件可为您提供操作手法示意图、解剖结构示意图、标准超声图像示例,帮助您快速掌握超声检查标准切面。

  • 智联Show

    可实现移动端设备与机器的无线连接,实现超声图片无线传输以及实时检查屏幕共享,促进医患交流。

  • 智联Expert

    主机内置远程会诊功能,一键开启,即刻享受优质服务。

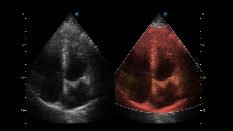
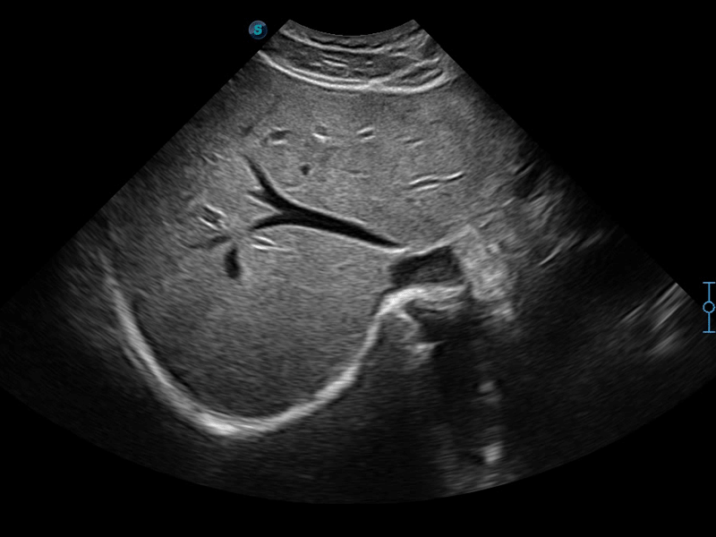
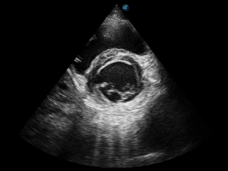
临床图像

禁忌内容或者注意事项详见说明书